At Toothscape Dental Solutions, we go beyond basic care to offer advanced dental treatments that combine clinical excellence with modern technology. Whether you're looking to replace missing teeth, treat complex gum issues, or correct impacted teeth, we provide safe, effective, and expert-led solutions tailored to your needs.
Our Advanced Dental Services Include:

Dental Implants
Permanent, natural-looking replacements for missing teeth. We work with implant specialists to ensure optimal outcomes and long-lasting results.

Laser Dentistry
Minimally invasive treatments for gum infections, ulcers, and other soft tissue issues. Faster healing, less discomfort, and no stitches required.

Surgical Tooth Extractions
Expert removal of impacted or problematic teeth (including wisdom teeth) under local anesthesia with utmost care and safety.

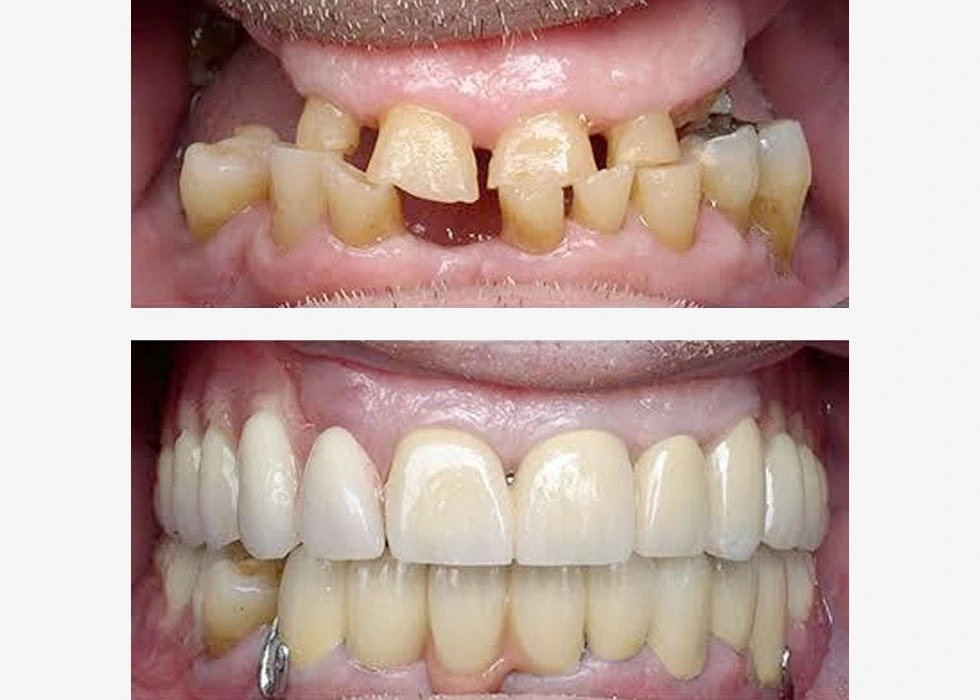
Smile Makeovers
Comprehensive aesthetic planning using veneers, whitening, orthodontics, and contouring to transform your smile with precision and artistry.

Full Mouth Rehabilitation
Rebuilding the health, function, and beauty of your teeth with a custom combination of restorative and cosmetic treatments.

Jaw Alignment & TMJ Management
Diagnosis and non-surgical treatment of jaw misalignment, facial pain, and bite-related issues using functional appliances and splints.

Digital X-Rays & Diagnostics
Low-radiation imaging for accurate and instant diagnosis, treatment planning, and patient education.